At Swan Orthodontics, we believe that every smile is unique — and so are the braces that help shape it. We offer a variety of braces options to suit different needs, lifestyles, and preferences. From classic metal braces to more discreet alternatives like clear braces and Invisalign®, our team will help you choose the best solution to achieve your perfect smile with confidence and comfort.
Schedule Your FREE Consultation

Traditional Metal Braces
Traditional metal braces are the most common type of braces and are more comfortable today than ever before. Made of high-grade stainless steel, metal braces straighten your teeth using metal brackets and custom archwires.
With metal braces, you have the option of adding colored elastics (rubber bands) for a more unique and colorful smile.

Clear (Ceramic) Braces
Ceramic braces are made of clear materials and are less visible on your teeth than metal braces. For this reason, ceramic braces are used mainly on older teenagers and adult patients who have aesthetic concerns.
While they're visually less prominent, they do require more attention to oral hygiene. Ceramic braces are larger and are more brittle than their metal counterparts. For these reasons, ceramic braces tend to be used more on upper front teeth than on lower teeth, also because the lower teeth are usually less visible.

Clear Aligners
Clear aligners like Invisalign® and Invisalign Teen® are a series of invisible, removable acrylic trays that straighten your teeth like braces.
Not only are the aligners invisible, but they're also removable. This means you can eat and drink with fewer restrictions while you are in treatment, plus they make brushing and flossing less of a hassle
The aligners are comfortable and discomfort can be easily fixed by filing the edges to avoid abrasions. They help align with attachments that are tooth-colored filling material that is placed on the areas that require movement.

LightForce Brackets
LightForce braces are a cutting-edge option that uses 3D-printed ceramic brackets custom made for each patient’s teeth. This personalized approach allows for a more precise fit, potentially faster treatment, and improved comfort compared to traditional braces. The clear ceramic material also makes them less noticeable.
Key Benefits:
-
Custom Fit: Each bracket is uniquely designed for your teeth.
-
Discreet: Clear ceramic makes them less visible than metal braces.
-
Efficient: Digital planning and precise placement may reduce treatment time and office visits.
LightForce braces are ideal for anyone seeking a modern, comfortable, and discreet orthodontic solution.
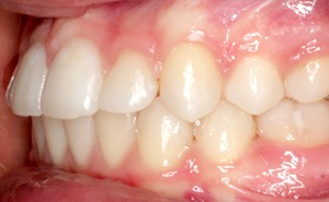
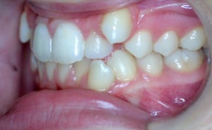
Before &
After Photos
Proud to Be an Orthodontist
in Grand Rapids, Michigan
Dr. Swan is committed to creating superior orthodontic results in a friendly, patient-centered environment.
She enjoys getting to know each of her patients and watching their smiles and confidence improve as treatment progresses.
Invisalign Smile Stories
You Could Be Featured Next
Braces FAQ's
Are braces worth getting?
Can braces fix overbite?
Can you eat after getting braces off?
Do braces permanently straighten teeth?
How do you get your braces off early?
How often are braces adjusted?
What age is best for braces?
Do braces change your face?
How long do braces take to straighten teeth?
What are the side effects of braces?
What is a good age to get braces?
What is the purpose of braces?
Which kind of braces are best?
"*" indicates required fields