Stunning Results

We're proud to create beautiful smiles. See some of our stunning work below.

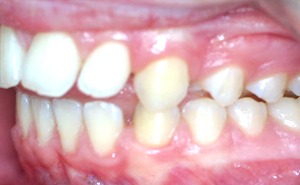
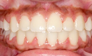
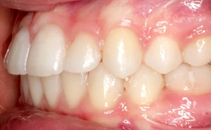
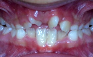
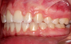
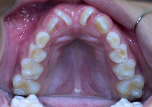
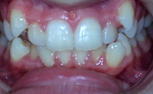
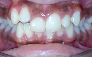
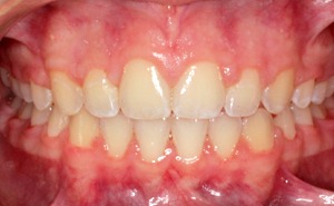
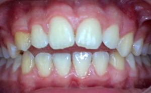
Patient One

before one

Before

after one

After

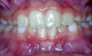
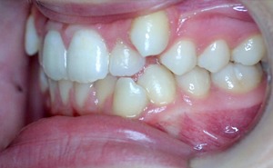
Patient Two

before two

Before

after two

After

Patient Three

before three

Before

after three

After

Patient Four

before four

Before

after four

After

Patient Five

before five

Before

after five

After

Patient Six

before six

Before

after six

After

Patient Seven

before seven

Before

after seven

After

Patient Eight

before eight

Before

after eight

After