You Want the Best for Your Child

That includes healthy teeth and a pleasing smile. Our goal is to treat your children as if they were our own, by providing them with the best possible orthodontic care.

All Kids Should Get an Orthodontic Check-Up By Seven Years Old

To have a smile that's long lasting and more importantly healthy, your child needs teeth and jaws that are properly aligned - in other words, a healthy bite. The American Association of Orthodontists recommends that your child get an orthodontic check-up at age seven.

By then, your child's teeth have developed enough to where subtle problems can be spotted with jaw growth and emerging teeth while some baby teeth are still present. This check-up may reveal that your child's bite is fine and braces aren't currently necessary.

Or, Dr. Swan recommends monitoring your child's growth and development, and then, if indicated, begin treatment at the appropriate time for your child. In other cases, Dr. Swan might find a problem that can benefit from early treatment.

 

Early Treatment

Early treatment may prevent or intercept more serious problems from developing and may make treatment at a later age shorter and less complicated. In some cases, Dr. Swan will be able to achieve results that may not be possible once the face and jaws have finished growing.

 

Choosing the Best Time for Treatment

While the age that kids get braces may vary, orthodontic treatment most often begins between the ages of 7 and 16, and some orthodontic problems are easier to correct if they are treated early. If it appears that treatment will be needed, your orthodontist can advise you as to the ideal time to begin. This gives your orthodontist the best chance to:

  • Guide jaw growth
  • Lower the risk of trauma to protruded front teeth
  • Correct harmful oral habits
  • Improve appearance and self-esteem in your child
  • Guide permanent teeth into a more favorable position
  • Create a more pleasing arrangement of teeth, lips and face

 

Signs the Bite's Not Right

It's not always easy to tell when your child may need braces or has an orthodontic problem. Even teeth that look straight may be hiding a problem bite. Here are some clues that may indicate the need for orthodontic attention:

  • Early or late loss of baby teeth
  • Difficulty in chewing or biting
  • Breathing through the mouth
  • Thumb-sucking
  • Crowded, misplaced or blocked-out teeth
  • Jaws that are too far forward or back
  • Biting the cheek or biting into the roof of the mouth
  • Protruding teeth
  • Upper and lower teeth that don't meet, or meet in an abnormal way
  • An unbalanced facial appearance
  • Grinding or clenching of the teeth

 

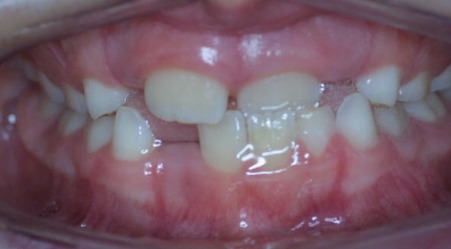
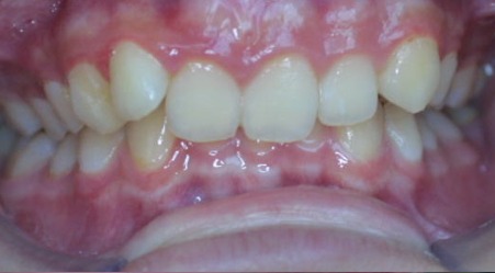
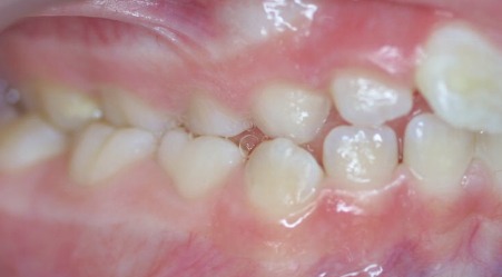
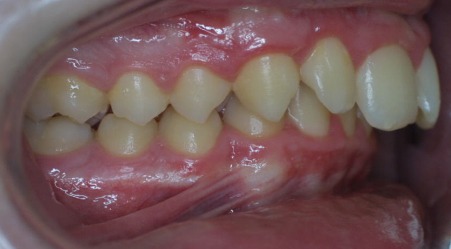
Problems to Watch for in Growing Children

Malocclusions ("bad bites"), like those illustrated below, may benefit from early diagnosis and referral to an orthodontic specialist for a full evaluation.  If your child has one or more of these dental issues, please contact us by setting up a free consultation. We would love to discuss your child's orthodontic options and develop a treatment plan that is customized to your child's needs and desires.

Unlimited replacement retainers included in contract fee (1).pdf

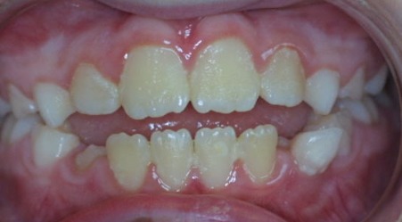
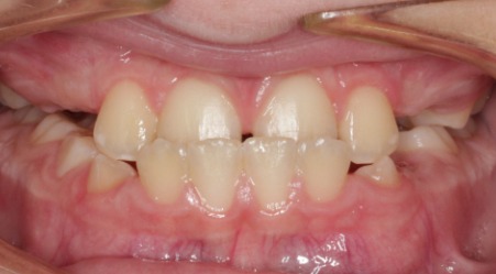
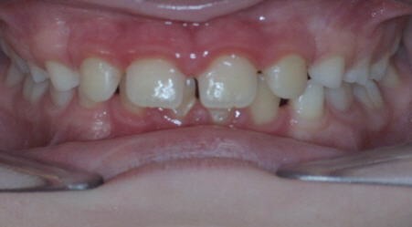
Common Orthodontic Issues

spacing

Spacing

crowding

Crowding

crossbite

Crossbite of Front Teeth

posterior crossbite

Crossbite of Back Teeth

openbite

Open Bite

deep bite

Crowding

over bite

Overbite

underbite

Under Bite

jaw problems

Open Bite